CABINET DENTAIRE DES DRS LIGEROT & JOFFROY
Dentistes à Longeville Les Metz
ACCUEIL
LE CABINET
PLAN
EN CAS D'URGENCE
FICHES CONSEILS
VIDÉOS
44 boulevard Saint Symphorien, 57050 LONGEVILLE LES METZ
+33 3 87 66 56 77
CABINET DENTAIRE DES DRS LIGEROT & JOFFROY
Dentistes à Longeville Les Metz
ACCUEIL
LE CABINET
PLAN
EN CAS D'URGENCE
FICHES CONSEILS
VIDÉOS
Blog - Page 5
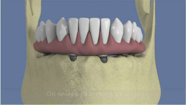
Mandibule complète et traitement implantaire pour un bridge fixe scellé
EN SAVOIR PLUS
Eclaircissement ambulatoire
EN SAVOIR PLUS
Le laser dans le traitement de la parodontite
EN SAVOIR PLUS
Le traitement chirurgical de la parodontite
EN SAVOIR PLUS
Bloc osseux ramique
EN SAVOIR PLUS
La dévitalisation
EN SAVOIR PLUS
Affichage des articles 25-30 sur 187
‹
1
2
3
4
5
6
7
8
9
…
31
32
›
Rechercher dans le blog Blog
À la une
(6)
Informations pratiques
(8)
L'équipement du cabinet dentaire
(7)
L'orthodontie
(13)
Les choix esthétiques
(10)
Les dents chez l'adulte
(6)
Les dents de l’enfance à l’adolescence
(13)
Les dents et la santé
(21)
Les gencives
(22)
Les implants
(22)
Les pathologies bucco-dentaires
(28)
Les prothèses
(31)
Omnipratique
(187)
Prendre soin des dents
(15)
CABINET DENTAIRE DES DRS LIGEROT & JOFFROY
Pour en savoir +
Politique de confidentialité et charte cookie
Mentions légales
Conditions Générales Utilisation
Charte déontologique
Ordre national
Annuaires chirurgiens dentistes
Nous trouver
Rechercher dans le blog Blog
Création par
Connexion
Vidéo en cours de lecture