CABINET DENTAIRE DES DRS LIGEROT & JOFFROY
Dentistes à Longeville Les Metz
ACCUEIL
LE CABINET
PLAN
EN CAS D'URGENCE
FICHES CONSEILS
VIDÉOS
44 boulevard Saint Symphorien, 57050 LONGEVILLE LES METZ
+33 3 87 66 56 77
Afficher le téléphone
CABINET DENTAIRE DES DRS LIGEROT & JOFFROY
Dentistes à Longeville Les Metz
ACCUEIL
LE CABINET
PLAN
EN CAS D'URGENCE
FICHES CONSEILS
VIDÉOS
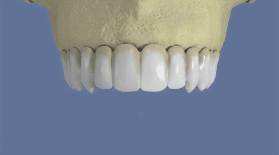
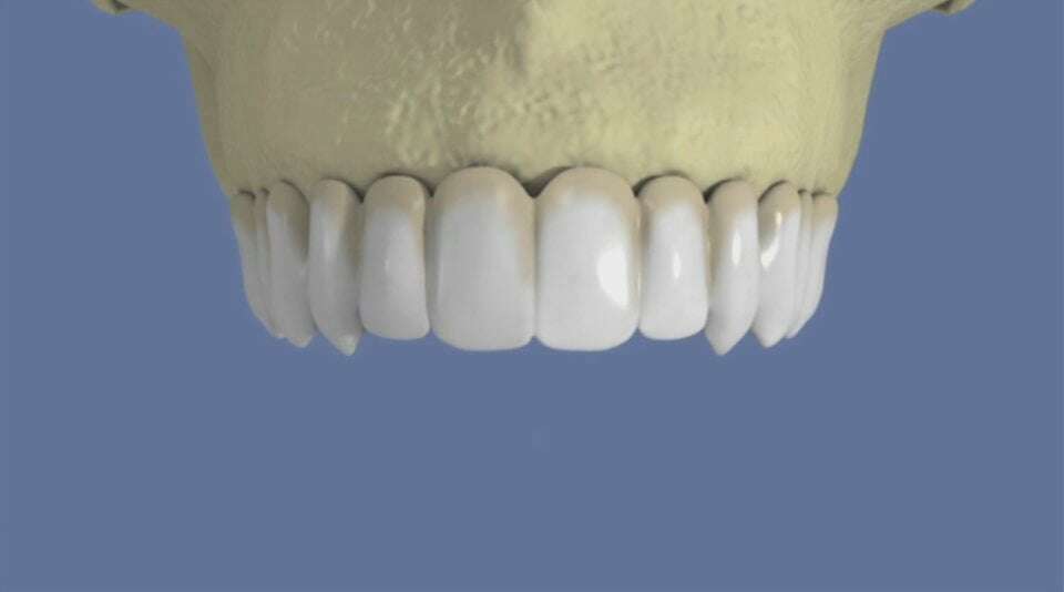
Maxillaire : bridge vissé sans fausse gencive
Vidéos 3D
Partager
Twitter
Partager
Partager
Envoyer
Copier
CABINET DENTAIRE DES DRS LIGEROT & JOFFROY
Pour en savoir +
Politique de confidentialité et charte cookie
Mentions légales
Conditions Générales Utilisation
Charte déontologique
Ordre national
Annuaires chirurgiens dentistes
Nous trouver
Rechercher
Création par
Connexion
Vidéo en cours de lecture